インプラント治療

インプラント治療

インプラント、いわゆる人工歯根は歯が欠損した場合、歯科医師が、欠損した歯のあった部分の骨にチタンの人工歯根を埋設し、それが骨と馴染み安定した後に、義歯を取り付け正常な咬合を取り戻すものです。

前歯が欠けてしまったら、恥ずかしいと思いませんか?私ども、ハーモニークリニックのインプラント治療はいかがですか。

抜歯した後にすぐインプラントを埋設し、義歯を取り付けると、傷口も小さく縫合の必要もありません。速やかに美観を回復させます。

インプラント五つの特長:

  • 1. 出血が少なく、縫合を必要としない低負担手術。
  • 2. 治療期間は従来より短く、皆様のお時間を無駄にしません。
  • 3. 歯を抜いた穴すぐインプラントを入れると、追加の手術は必要ありません。
  • 4. 歯槽骨が吸収され、歯茎が萎縮する可能性を減らします。
  • 5. 歯茎の形状を維持し、傷口が治った後は見た目が良くなります。

インプラント.ケース⇒インプラント実施例

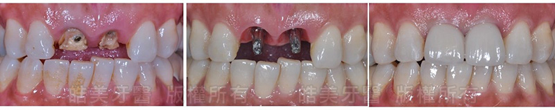
ケース①

劉さんの場合  前歯が折れた。

当ハーモニークリニックのインプラントを行い、すぐに義歯を装着しました。機能性も審美性も同時に解決しました。

写真の著作権はハーモニー歯科クリニックが保有しています

ケース②

張さんの場合  前歯(義歯)を2本失いました。早速当ハーモニークリニックでインプラントを行い、美しい笑顔が戻りました。

写真の著作権はハーモニー歯科クリニックが保有しています

インプラント選択のポイント

1. 歯科用CT(レントゲン撮影)

歯科用CTによって、口の中の状況を具体的に把握します。(歯肉~歯槽骨の距離、根管、骨密度、咬合面等)これにより歯科医師は、患者の皆様の状況を正しく理解し治療に役立てます。

2. 医師のインプラント経験

お口の中の状況はさまざまです。ですから多くの経験を積み、学会などの認証を受けた歯科医師を選んでください。

3. 完全無菌手術室

手術室、手術着、手術器材など、すべて殺菌しております。感染症のリスクを減らします。

4. 術前のお話し

治療開始前には、お体の状態や食生活を十分理解する必要がありますので、質問にお答えください。

5. インプラントした義歯のケア(術後のケア)

義歯の手入れは、基本的には天然歯と同じです。常にお口の中をきれいに保つことです。インプラントした歯はきれいに見えますが、歯垢が溜まります。歯と歯の間、歯と歯茎の間には特に溜まりやすいので、歯垢の中の細菌によって、歯肉に炎症をおこし、やがて歯を支えている骨を溶かして行きます。結果的には骨を失うことになります。(歯周病⇒歯肉炎⇒歯周炎)

通常は歯肉溝内に細菌が入ってくると、好中球やマクロファージといった免疫担当細胞が飛んできて、侵入者を食べてくれますが、日々のホームケアに加え、糸ようじと歯間ブラシを正しく使い、歯周病や虫歯などのトラブルを防ぐことが大切です。

インプラント後によく起こる問題

Q:現在インプラントの成功率は約95%~98%、ほぼ毎日行われています。では、トラブルが起こる原因はなんでしょうか?

A:過度に歯を噛締める:硬い食べ物が好き、普段夜寝ている間に歯を噛む癖がある人は、入れ歯が割れたり破損していたら、すぐ歯科医師に受診して頂きましょう。

金属疲労でインプラントが折れた時の応急処理は、天然歯と同じで、折れた義歯を取出して、一旦傷口が回復してから、インプラント手術をやり直します。

B:インプラント周囲炎:インプラントした義歯は虫歯になりませんが、毎日のケアが不十分なら歯周炎のような炎症になりやすい。症状が軽い場合、歯茎が腫れたり、痛くなったりします。ひどい場合は、歯肉から血や膿がでる、歯を支える組織(歯根膜、歯槽骨)が破壊されてしまって、歯を失います。インプラントの失敗例になってしまいますので、お口の中を常にきれいに保つことと、定期的に受診することは同様に大切です。