骨再生誘導法(GBR)

骨再生誘導法(GBR)

この方法は人工の骨補てん材を、メンブレンと呼ばれる特殊な膜を利用して、インプラントの土台に埋めます。そこに、骨芽細胞が集まり、骨ができます。骨再生誘導法が導入されて、歯周病のために、土台となる骨が十分ではないので、インプラント適用不可能とされてきた人たちにも、適用できる範囲がかなり広がったといえます。約3~6ヶ月で、新生骨ができてからインプラント手術を行います。

ケース①

邱さんの場合  事故で側切歯を失いましたが、インプラントと骨再生治療を同時に受け、まるで自分の歯のように再生できました。

写真の著作権はハーモニー歯科クリニックが保有しています

ケース②

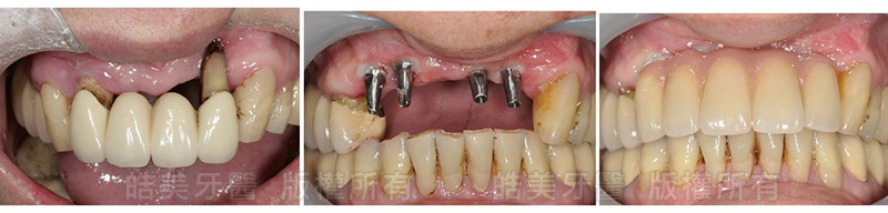
張さんの場合  上顎前歯の歯槽骨は歯周病でかなり喪失しておりましたが、2回の骨再生手術で十分な骨を確保しました。ピンク色の歯茎のセラミックの義歯を装着して、自然な仕上がりになりました。

写真の著作権はハーモニー歯科クリニックが保有しています

ケース③

陳さんの場合  長期間歯が無かった状態の患者と同様に、歯槽骨がひどく萎縮して、隣接する小臼歯(厚み9mm)と比べて、たった2mmしかありませんでした。インプラントを成功させるためには、骨の再建が必要です。写真のように14mmまで再建するのを待ってインプラントを行えば、しっかりしたものになるでしょう。

写真の著作権はハーモニー歯科クリニックが保有しています