審美齒科治療

美しい笑顔の秘密----スマイルライン

次世代の歯科治療における審美性の概念では、美しい笑顔とは単に歯の白さを求めるホワイトニングではありません。歯の白さだけを求めると、不自然な印象を与えることになりかねません。当クリニックでは美しい笑顔は次の3要素から成り立っていると考えます。

1) 歯、 2)唇、 3)歯茎との調和 黄金比に基づいたスマイルラインで、スターの笑顔をあなたに。

完璧なスマイルラインの必要条件

  • 1. 笑った時、唇の両端と人中の最下点(人中とは鼻と唇の間の窪んだ部分)、これらの3点が水平に並ぶか、もしくはなだらかなU字型になる。
  • 2. 笑った時、上唇のラインと歯茎のラインが一致している。上の歯の先端を結んだラインと下唇のラインが一致している。このようなとき審美的な美しさが得られます。
  • 3. 私たちの歯には、美しく見える黄金比があります。前歯(中切歯)は 長さ:幅の比が 1.618 : 1、そして中切歯、側切歯、犬歯、幅の比は 1.618 : 1 : 0.618です。
  • 4. 白くて、きちんとした歯並び;微笑んだときに見える歯数は8から10本。
  • 5. 健康な歯茎。
  • 6. 笑った時の口角の動きが左右対称。
  • 7. 咬合面(嚙合わせ面:物を噛んだとき、上下の歯が当たる面)と瞳孔線が水平である。

ケース①

劉さんの場合  歯並びが悪く、前歯はむし歯で見た目が悪くなってしまいました。

密集した歯並びの矯正と、むし歯防止の対策をしました。前歯の部分は、4本オールセラミッククラウンを被せ、全部の歯をホワイトニングした結果、ご希望のきれいに並んだ白い歯になりました。

圖片說明

詳細は写真のとおり

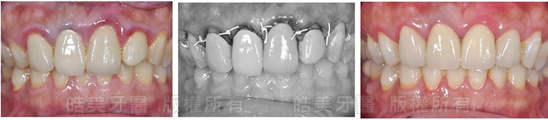
ケース②

呉さんの場合  上あごの両犬歯の位置が悪く、前歯4本の歯茎は歪んで、美観を損なっています。

まず、両犬歯を抜き、前歯4本はクラウンを被せ、歯茎の高さを揃え、歯並びを調整しました。古い差し歯を除去して、セラミックに交換しました。

圖片說明

ケース③

李さんの場合  スマイルラインの改善ご希望。かみ合わせが悪く、そのため歯茎が赤くはれる。歯茎、歯並びが左右いびつで、口元を見られるのが恥ずかしい。

歯茎の長さを整え、ゆがみを改善しました。セラミッククラウンを被せて、輝く笑顔を手に入れました。

圖片說明

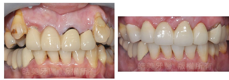
ケース④

鄭さん(78歳)の場合  入歯使用歴10年以上 様々な悩みを抱え過去10年余を過ごしてきたが、お口全体の嚙合わせ問題を解決するために、インプラント治療を選択しました。上あごはインプラント、下あごは局部矯正を行い噛み合わせを取り戻しました。 鄭さん、今は歯が全部よくなって、人生を楽しんでいます。

ビフォー & アフター

圖片說明

詳細は写真のとおり