自家骨移植手術

自家骨移植手術(Autogensis bone block graft)

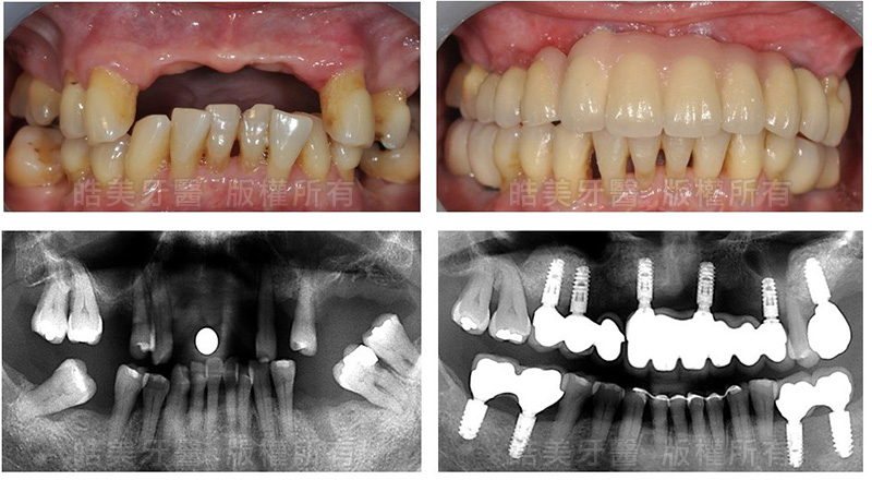
骨の厚みや高さが全く不足している場合には、骨増生法や骨移植を行ってから、インプラント治療を行います。

自家骨に含まれる成長因子(growth factor)の働きにより、再生した骨は歯を支えるには最適です。しかし極めて難度の高い手術です。

ケース

歯が歯がないので、林さんは十年間入歯を着用してきましたが、噛み合せの改善のため、インプラントを選びました。自家骨を移植して骨を再建しました。

写真の著作権はハーモニー歯科クリニックが保有しています

詳細は写真のとおり

インプラント手術を成功させるために、インプラント専門医は、整形外科分野における先端治療である、骨再生の専門知識と経験を積んだ整形外科と緊密に連携して万全の体制を取っています。